other
Produkte
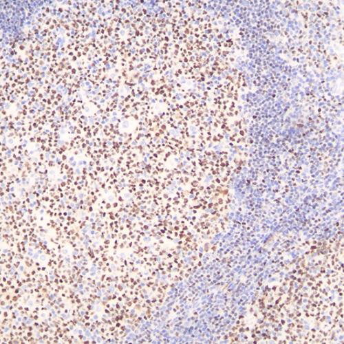
EBER ISH

EBER ISH

EBV-Sonde

Das Epstein-Barr-Virus (EBV), auch bekannt als humanes Herpesvirus 4, ist ein Mitglied der Familie der Herpesviren. Es war das erste onkogene Virus, das entdeckt wurde. Eine Infektion durch dieses Virus kann Anzeichen einer leichten Virusinfektion aufweisen oder als infektiöse Mononukleose vorliegen. Die häufigsten Zielzellen für das Epstein-Barr-Virus sind die B-Lymphozyten und die Nasopharynx-Epithelzellen. Das Epstein-Barr-Virus infiziert die menschliche Bevölkerung massiv, und seroepidemiologische Studien zeigen, dass 90 % der Erwachsenen mit diesem Virus infiziert sind. Es gibt zahlreiche menschliche Tumoren, die mit EBV assoziiert sind. Diese reichen vom undifferenzierten Nasopharynxkarzinom bis zum afrikanischen Burkitt- Lymphom , Hodgkin -Lymphom.S-Krankheit, gemischte Zellularität, einige B-, T- und NK-Lymphome sowie bei lymphoproliferativen Prozessen, die mit Immunschwäche einhergehen.  Die EBV-Sonde ist für den qualitativen Nachweis von EBER-RNA des humanen Epstein-Barr-Virus (EBV) in Formalin-fixierten, Paraffin-eingebetteten Proben durch chromogene In-situ-Hybridisierung (CISH) bestimmt . Eine positive Reaktivität für Epstein-Barr-Virus (EBV) EBER-RNA in den Zielzellen wird durch einen deutlich gefärbten Zellkern angezeigt. Farbige Präzipitate, die sich deutlich vom Hintergrund unterscheiden lassen, werden bei Verwendung von DAB zum Nachweis dunkelbraun.

# Eine Nachricht hinterlassen
Wenn Sie an unseren Produkten interessiert sind und mehr Details erfahren möchten, hinterlassen Sie bitte hier eine Nachricht, wir werden Ihnen so schnell wie möglich antworten.
einreichen
#
Verwandte Produkte
Mehr sehen
Kappa ISH Kappa ISH Kappa light chains in situ hybridization
Kappa-Leichtketten-Sonde
PAP Pen für die Immunfärbung Immunostaining PAP Pen
Der Talent PAP-Stift ist ein spezieller Markierungsstift, der eine 2 mm große, grünstichige hydrophobe Barriere bildet, wenn ein Kreis um eine Probe auf einem Objektträger gezogen wird. Diese wasserabweisende Barriere hält die Färbereagenzien auf den Gewebeschnitten lokalisiert und verhindert das Mischen von Reagenzien, wenn zwei Schnitte unterschiedlich gefärbt werden auf demselben Objektträger und kann Reagenzien für jeden Abschnitt speichern. Die Arbeitstemperatur des Talent PAP-Stifts sollte unter 120 ℃ liegen. Das Tintenvolumen dieses Stifts beträgt 3 ml, sodass er etwa 500 Mal verwendet werden kann.
Vimentin-Antikörperreagenz für die Immunhistochemie Vimentin Antibody Reagent for Immunohistochemistry
Vimentin - Antikörperreagenz —— Primärer Antikörper

Eine Nachricht hinterlassen

Eine Nachricht hinterlassen
Wenn Sie an unseren Produkten interessiert sind und mehr Details erfahren möchten, hinterlassen Sie bitte hier eine Nachricht, wir werden Ihnen so schnell wie möglich antworten.

Heim

Produkte

um

Kontakt